Panostitis

Nachfolgend drei unterschiedliche Artikel zu dieser Krankheit:


Panostitis – eine schmerzhafte, generalisierte Skeletterkrankung bei jungen Hunden.
Die generalisierte und sehr schmerzhafte Knochenentzündung «Panostitis» ist eine Junghundeerkrankung, deren Ursache, Entstehung und Entwicklung auch heute noch weitestgehend unbekannt ist. Von der Krankheit betroffen sind vor allem großwüchsige und temperamentvolle mittelgroße bis große Rassen... Die Krankheit beginnt häufig im Alter von 5-6 Monaten und wurde häufiger bei Rüden beobachtet. Das klinische Krankheitsbild äußert sich in oft schubweise auftretenden Lahmheiten unterschiedlichsten Grades, die mitunter von einem Gliedmaß auf die andere wechseln können. In der Vorgeschichte kann klassischerweise kein Trauma als Lahmheitsursache ermittelt werden. Charakteristisch ist auch die Druckschmerzhaftigkeit, vor allem im Bereich der langen Röhrenknochen (Oberarm- und Oberschenkelknochen, Elle, Speiche und Schienbein). Begleitend können häufig Fieber, Bewegungsunlust, Appetitlosigkeit bis hin zur Futterverweigerung beobachtet werden. Die Diagnose wird durch Tastuntersuchung gestellt.
Besonders der übermäßige Eiweißgehalt von verschiedenen Fertigfuttern scheint bezüglich der Panostitis, neben allerdings noch anderen Faktoren, eine vordergründige Rolle zu spielen.



In der Schweiz wird die Erkrankung mit dem
Wirkstoff Benzopyron ist als Cumartrin im Handel, behandelt (Firma Diavet. CH-8806 Bäch. )

In Deutschland ist noch eine Behandlung mit entzündungshemmenden und schmerzstillenden Medikamenten üblich.


D  I  S  S  E  R  T  A  T  I  O  N

VERLAUFSUNTERSUCHUNG ZUR PANOSTITIS EOSINOPHILICA
DES HUNDES UNTER BESONDERER BERÜCKSICHTIGUNG
DER TONSILLEKTOMIE


Günther Wanivenhaus - 1995

Vorgeschichte

In der Tierklinik - Bruck/Lth konnten wir feststellen, daß Junghunde, die an Panostitis eosinophilica erkrankt
waren ( schmerzhafte Knochenerkrankung wachsender Hunde großer Rassen - mit bisher unbekannter Ursache ), meistens
auch an einer hochgradigen Tonsillitis ( Mandelentzündung ) litten. Da man bereits 1951 eine von entzündeten
Mandeln ausgehende Infektion langer Röhrenknochen als mögliche Ursache der Panostitis vermutet hatte,
diese Theorie jedoch nie näher untersucht wurde, begannen wir bei der Therapie dieser Erkrankung, zuerst
die Mandelentzündung zu behandeln. Dabei fiel auf, daß die Hunde, bei denen die Mandeln operativ entfernt
wurden, deutlich schneller gesund wurden, als jene, die in herkömmlicher Weise nur entzündungshemmend
und antibiotisch behandelt wurden. Obwohl bei Panostitis auch nach intensivster Injektionstherapie häufig
Rückfälle zu erwarten waren,  traten diese bei den operierten Hunden kaum mehr auf. Von 94 Hunden, die
an Panostitis erkrankt waren, ließen wir im Rahmen einer Vorstudie die entfernten Mandeln bakteriologisch
untersuchen. Bei 74 % der Patienten konnte dabei eine Infektion mit Pasteurellen - einer Bakterienart mit
möglicherweise knochenschädigenden Toxinen ( Giftstoffe ) - nachgewiesen werden.



Knochenpräparat: Schienbein - Hund
hochgradige Panostitis im mittleren Schaftbereich



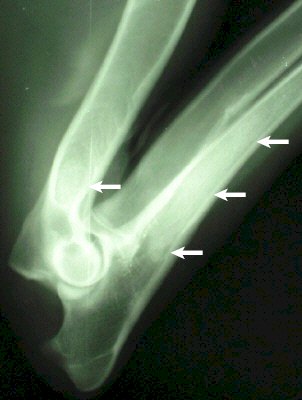
Röntgenbild: rechter Oberarm - Ellbogen - Leonberger, 5 Monate
hochgradige Panostitis mit wolkigen Verschattungen


Rechte Mandel - Deutscher Schäfer, 7 Monate
hochgradige Mandelentzündung - Rötung, Schwellung, Wucherungen

Dissertation  -  Kurzübersicht

Untersucht wurde der Heilungsverlauf bei Hunden, denen im Rahmen der Behandlung einer Panostitis die
entzündeten Mandeln entfernt worden waren, und bei denen auf den Tonsillen Pasteurellen nachgewiesen
werden konnten. Dazu wurden bei 50 Junghunden im Alter von 4 bis 18 Monaten ( 21 Deutsche Schäfer -
40 Rüden und 10 Hündinnen ) vor der Behandlung genormte klinische und röntgenologische Untersuchungen
durchgeführt. Es wurden Blutproben abgenommen und die entfernten Mandeln bakteriologisch untersucht.
Nach der Operation wurden alle Hunde eine Woche lang antibiotisch und entzündungshemmend behandelt.
Klinische Verlaufskontrollen und Bluttests wurden am 14. und 30. Tag nach Therapiebeginn durchgeführt.
Eine abschließende klinisch - orthopädische Kontrolle erfolgte 6 Monate nach der Mandeloperation.

Obwohl am ersten Behandlungstag alle Hunde unterschiedliche aber deutliche Lahmheiten zeigten, ließen
nach 14 Tagen 54% der Patienten nur mehr eine geringe Lahmheit erkennen und 46% gingen zu diesem
Zeitpunkt bereits lahmheitsfrei. Bei den Kontrolluntersuchungen 30 Tage und 6 Monate nach der Operation
waren alle 50 Hunde frei von Anzeichen einer Panostitis.

Die Studie ließ einen Zusammenhang zwischen Mandelentzündung, Pasteurelleninfektion und Panostitis
erkennen. Hunde, die an Panostitis erkrankt waren, wurden nach einer Mandeloperation im Vergleich zu
herkömmlich behandelten schneller gesund, gingen früher lahmheitsfrei und hatten kaum Rückfälle.

Ob bakteriell infizierte Mandeln die alleinige Ursache der Panostitis sind, muß noch untersucht werden. Das
Entfernen entzündlich veränderter Tonsillen hat sich schon jetzt als wirksame Methode bei der Behandlung
dieser schmerzhaften Erkrankung wachsender Hunde bewährt.

Panostitis eosinophilica

. . . ist eine entzündliche Erkrankung langer Röhrenknochen, die im Wachstumsalter bei großwüchsigen
Hunderassen - besonders Deutschen Schäferhunden - auftritt. Sie kommt bei Rüden deutlich häufiger vor
als bei Hündinnen. Die ersten Anzeichen treten meistens in einem Alter von 5 bis 18 Monaten auf - bei
Hündinnen oft während der ersten Läufigkeit.



Röntgenbild: linke Vordergliedmaße
Weißer Schäfer - männlich - 10 Monate
Panostitis im Ober- und Unterarm


Röntgenbild: linke Vordergliedmaße
Deutscher Schäfer - weiblich - 7,5 Monate
hochgradige Panostitis im Oberarm

Die typischen Symptome sind Lahmheiten unterschiedlichen Grades, Druckschmerzhaftigkeit der Knochen
sowie Veränderungen der Muskulatur an den erkrankten Gliedmaßen - begleitet von Fieber, Störung des
Allgemeinbefindens, Appetitlosigkeit und Bewegungsunlust.

Die Lahmheit einer oder mehrerer Extremitäten kann unterschiedlich stark ausgeprägt sein - von einer kaum
wahrnehmbaren Unregelmäßigkeit des Ganges bis zum vollkommenen Nichtbelasten der Extremität - sie
kann bis zu 4 Monaten anhalten und springt oft von einer Extremität auf die andere um, da mehrere Knochen
nacheinander erkranken können. Mit zwei- bis dreiwöchigen Pausen kann die Krankheit bis zum zweiten
Lebensjahr immer wieder ausbrechen. Häufige Rückfälle sind typisch.

Durch die Beeinträchtigung des Bewegungsapparates und des Allgemeinbefindens ist sie eine ernste Gefahr
für die Wachstumsphase junger Hunde und sollte möglichst früh erkannt und behandelt werden.

Bei rechtzeitiger Therapie können die Heilungschancen als günstig bezeichnet werden.



Erste Röntgenaufnahme einer Panostitis eosinophilica - 3. August 1931
Dt.Schäfer - männlich - 7 Monate
Institut für Röntgenologie - Tierärztliche Hochschule - Wien



Eintrag der Aufnahme im Protokollbuch des Röntgeninstitutes

 


Panostitis (generalisierte Knochenentzündung) beim Hund

© V. Hach, S. Schleich, E. Schimke, M. Kramer, M. Gerwing
(Chir. Vet. Klinik, Universität Giessen)

 

Die Panostitis ist eine Erkrankung der langen Röhrenknochen bei jungen großwüchsigen Hunden. Die Ätiologie wurde noch nicht vollständig geklärt. Da der Deutsche Schäferhund am häufigsten betroffen ist, gilt eine genetische Disposition als gesichert. Dämmrich (1979) vermutet ein chronisches Stauungsödem im Markraum des Knochens während der Wachstumsphase infolge Diaphysenkrümmung und venöser Abflußstörung. Schawalder und Mitarbeiter (1994) sehen die Krankheitsursache in einer Durchblutungsstörung des Knochenmarks; vermehrte Eiweißfütterung kommt es im Knochenkompartiment zur Ablagerung von osmotisch aktivem Eiweiß und die Folge ist ein Ödem, das zur Erhöhung des intraossären Drucks und zur Kompression der Blutgefaße im Markraum führt. An weiteren Ursachen werden Stoffwechselstörungen, Allergien, Parasitosen, Autoimmunreaktionen nach Virusunfektionen sowie Hyperöstrogenismus diskutiert. Männliche Tiere sind offenbar häufiger betroften als Hündinnen.

Die Panostitis betrifft vor allem das Fettmark. Während der cyclischen Krankheitsperioden kommt es zur Degeneration der medullären Fettzellen, die mit Veränderungen des marknahen Trabekelknochens einhergeht. Histologisch ist eine vermehrte osteo- und fibroblastische Aktivität im Periost, im Endost sowie im Markraum zu erkennen. Die periostalen Ossifikationsprozesse sind eine Folge der Umstrukturierung und der Regeneration des Markraumes.

Die klinische Symptomatik beginnt mit der akuten Lahmheit einer Gliedmaße, deren Ausmaß von gering- bis höchstgradig variiert. Es können auch mehrere Gliedmaßen gleichzeitig betroffen sein. Das Durchschnittsalter der betroffenen Tiere liegt zwischen 5 und 12 Monaten, kann sich bei Hunden aber auch bis zum zweiten und ausnahmsweise bis zum fünften Lebensjahr erstrecken. Es werden Entzündungszeichen wie Fieber, Anorexie und in ausgeprägten Fällen auch Apathie beobachtet. Bei länger andauernder Krankheit entsteht eine Muskelatrophie an der betroffenen Gliedmasse. Das akute Stdium kan in eine chronische Verlaufsform mit schubweisen Lahmheitsepisoden in mehrwöchigem Abständen übergehen.

Diagnose: Die Tiere zeigen bei der Druckpalpation der betroffenen Röhrenknochen starke Schmerzreaktionen.

Differentialdiagnose: Es kommen alle Jungtierkrankheiten mit Lahmheiten in Betracht wie Osteochondrosis dissecans, fragmentierter Processus coroncideus medialis, isolierter Processus anconaeus, Hüftgelenksdysplasie, Kreuzbandruptur, Meniskopathie sowie Luxationen und Frakturen in Betracht.

Therapie: Zur symptomatischen Schmerzbekämpfung werden nichtsteroidale Antiphlogistika und in Einzelfällen auch Glukokortikoide eingesetzt. Die Krankheit heilt meistens bis zum 2. Lebensjahr aus. Inwieweit die Reduktion übermässiger Proteinfütterung zu einer Beschleunigung der Heilphase führt ist ungeklärt.


www.bernerportal.de